All the news about
Antiepileptic drugs
אוסטאופורוזיס / אוסטאומיאלציה כתוצאה מטיפול תרופתי
במחקר זה מוצגות תוצאות המחקר המבוסס על מאגרי נתונים של צרפת וספרד המראה כי מלבד סטרואידים קיימות תרופות נוספות היכולות לגרום לאוסטאופורוזיס / אוסטאומיאלציה
30.12.2019
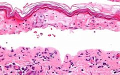
אילו תרופות אנטי אפילפטיות גורמות להפרעות עוריות חמורות?
החוקרים ביצעו ניתוח רטרוספקטיבי של מאגר יפני המתעד תופעות לוואי במטרה לבדוק אילו תרופות אנטי אפילפטיות קשורות באופן חזק להופעה של תסמונת סטיבן-ג'ונסון ולנמק עורי רעיל בילדים
04.07.2019