
במחקר שהתפרסם בכתב העת British Journal of Pharmacology נמצא כי ירידה בשכיחות חיידקים פרוביוטיים במעי גורמים לשינוי בריכוז נגזרות אינדול המופקים מטריפטופאן הנקשרים לקולטני אריל הידרוקרבון בכליה ובכך משפיעים באופן ישיר על מנגנון ההיווצרות של נפרופתיה ממברנוטית.
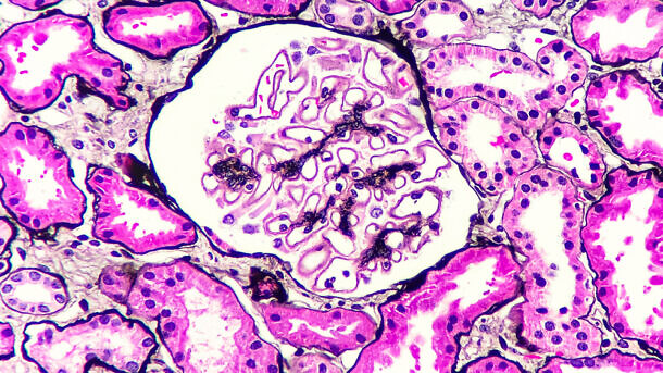
נפרופתיה ממברנותית (Membranous Nephropathy- MN) הינה מחלה של פקעית הכליה המתווכת על ידי תאי מערכת החיסון. המנגנונים בהם נוצר קשר בין נוגדנים לאנטיגנים כבר הובהרו בעבר, אך טרם אופיינו המנגנונים המולקולריים המופעלים על ידי שקיעת קומפלקסים חיסוניים בשכבה התת-עורית. ישנו מידע מצטבר המראה כי להרכב המיקרוביוטה של המעי יש השפעה על הפתוגנזה של MN.
במחקר זה החוקרים זיהו שינויים בהרכב המיקרוביוטה של המעי והצואה ובמטבוליטיים בסרום המתווכים מנגנון תלוי קולטן לאריל הידרוקרבון (Aryl Hydrocarbon Receptor- AhR) בחולדות עם MN המושרה על ידי הזרקה של חלבון CBSA (Cationic Bovine Serum Albumin- CBSA) ובנבדקים עם MN אידיופתי (Idiopathic MN- IMN).
הפרעה בתפקוד הכלייתי נמצא במתאם עם ירידה יחסית בכמויות של פרוביוטיקה בצואה, מזן לקטובצילוס וביפידובקטריום, ושינוי ברמות של נגזרות אינדול המופקות מטריפטופאן (Tryptophan-Produced Indole Derivatives- TPID) בחולדות עם MN. ממצאים נוספים הדגימו כי ירידה יחסית בכמויות של חמישה זני חיידקים פרוביוטקיים; לקטובצילוס ג’ונסוניי, לקטובצילוס מורינוס, לקטובצילוס וגינליס, לקטובמילוס רוטרי וביפידובקטריום אנימליס, נמצאו במתאם חיובי עם הפחתת רמות אינדול-3-חומצה פירובית, אינדול-3-אלדהיד וטריפטמין ונמצאו במתאם שלילי עם עליה ברמות אינדול-3-חומצה לקטית ואינדול-3-חומצה אצטית בסרום של חולדות עם MN. כמו כן, בנבדקים עם IMN נמצאו שינויים ברמות של חמשה זני חיידקים פרוביוטיים אלו וברמות של חמש TPID. מבדקים נוספים הראו גם כי חולדות עם MN הדגימו עליה משמעותית בביטוי mRNA של AhR תוך-כלייתי ובגנים CYP1A1, CYP1A2, CYP1B1, אליה התלוותה ירידה בביטוי חלבון AhR בציטופלזמה ועליה בביטוי חלבוני AhR בגרעין, הן במודל חולדה של MN והן בנבדקים עם IMN.
מסקנת החוקרים הייתה כי הפעלה של מסלול האיתות של AhR בתוך הכלייה עשוי לערב חמישה סוגים של TPID. ממצאים אלו מציעים כי הרכב המיקרוביוטה של המעי יכול להשפיע על MN דרך קישור TPID לקולטני המאכסן.
למקור:
https://bpspubs.onlinelibrary.wiley.com/doi/10.1111/bph.16219